Ortoröntgenogram

Ortoröntgenogram Nedir?

Ortoröntgenogram, orta yaş grubunun ve gençlerin sıklıkla karşılaştığı skolyoz rahatsızlığının erken dönemde teşhisini koyabilmek adına hastalara mutlaka uygulanması gerekir. Skolyoz rahatsızlığı oldukça zorlu ve ağrılı bir şekilde geçmektedir.

Omurgada görülen eğrilik daha sonrasında felç kalmaya ya da ölüme sebep olabilir. İhmal edilecek bir durum olmadığını ve erken dönemde teşhisin koyulmuş olması gerekiyor.

Klasik röntgen çekimine göre biraz daha uzun ve detaylı bir incelenmenin yapılması sağlanır. Galenlab laboratuar hizmetlerinin sağladığı bu imkândan faydalanılması mümkündür.

İleri teknolojiyle birlikte gelişen cihazlar kullanılarak daha net ve detaylı bir şekilde çekim işlemi gerçekleştirilir. Bu yüzden yapılacak olan ortoröntgenogram çekimi röntgen cihazından çok daha farklı bir şekilde gerçekleştirilir.

Ortoröntgenogram Nasıl Çekilir?

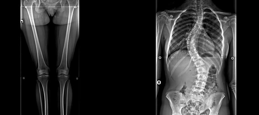
Aslında ortoröntgenogram skolyoz grafisi olarak da bilinir. Özel çekim olarak gerçekleştirilir ve röntgen uygulaması altında gerçekleştirilmiş olur.

Omurgada meydana gelen eğrilikler kişide ağır şikâyetlere sebep olur. Gözle görülebilir olmadığı için görüntüleme tekniklerinden yardım alınır. Bu tekniğin kişiye zarar vermesi veya hasar bırakması mümkün değildir. Çekim sırasında herhangi bir ağrı ya da acı hissi açığa çıkmadan çekim yapılır.

Bu rahatsızlık genelde gençlerde veya gelişmekte olan kişilerde görülür. Yanlış hareketler, ağır kaldırma ve yanlış kaynayan kemiklerden dolayı görülmektedir. Röntgen cihazı ile birlikte radyolojik tetkikler çekilmiş olur.

Elde edilen görüntüler genelde siyah beyazdır. Fakat röntgen cihazından farklı olduğu için her röntgen cihazının ortoröntgenogram çekimi yapılamaz.

Günümüz şartlarında gelişmekte olan teknolojiyle birlikte sağlık alanında tanı ve tedavi için cihazlarda gelişmiştir. Bu cihaz yardımıyla elde edilen görüntülerde skolyozun ölçüleri alınır. Skolyoz açısının doğru şekilde belirlenebilmesi ise oldukça önemlidir.

Dijital ortamda işlemler gerçekleştiği için film saklanabilir ya da VCD’ye kaydedilerek hastaya kopyası verilebilir. İşlem süresi yaklaşık olarak 15-20 dakika arasında değişkenlik gösterir. İşlem sırasında hasta ayakta durarak çekim işlemleri yapılır.

Ortoröntgenogram Nerede Çekilir?

Skolyoz rahatsızlığında net görüntülerin elde edilebilir olması ve 3 boyutlu şekilde görüntülenmesi için ortoröntgenogram çekiminden yardım alınır. Çekilecek olan film üç farklı yönden belirlendikten sonra çekilir. Skolyozun eğriliğini ve doğru açısını belirleyerek ölçümler alınır. Boyundan başlayarak kalçaya kadar uzanan bir kemik yapısına sahip olduğu için çekim işlemleri gerçekleştirilir.

Yapılacak olan çekim işlemleri, sağlık kuruluşlarında yapılır. Kamu ve özel hastanelerde ya da tanı merkezinde işlemler yapılır. Hastanenin yoğunluğuna göre randevu alınabilir. Acil durumlarda veya beklemek istemeyen hastalar için işlemlerin tanı merkezinde yapılması önerilir.

Galenlab laboratuar hizmetlerinden faydalanmak için iletişim bilgilerinden irtibata geçilmesi gerekiyor. Bu esnada fiyat bilgisi, çekim bilgisi hakkında daha fazla bilgiye sahip olunabilir. Çekimin yapılacağı işleme karar vermek için faydalı bir yol olacaktır.

Ortoröntgenogram Çekimi Ne Kadar Sürer?

Bakıldığı zaman bel ağrısı sürekli olarak açığa çıkmaz.  Bazı dönemler de kendini gösterir ve oldukça ağrılı olacak şekilde geçer. Hastaya fiziki muayene yapılır ve daha kesin teşhis koyabilmek için görüntüleme tekniğinden yardım alınır.

Vücudumuzdaki organların gözle görülebilir olmamasından dolayı kesin teşhis koyulamaz. Teşhis koyabilmek ve tedavinin gerçekleşebilmesi için bu görüntüleme tekniği uzman hekimlerin sıklıkla başvurduğu yöntemlerden biridir.

İşlem farklı pozisyonlarda olacak şekilde yapılır. Diğer çekim işlemlerinde olduğu gibi hasta burada sedyeye yatırılmaz. Tam aksine ayakta çekim yapılması uygun görülür. Çekim süresini 15-20 dakika ile sınırlandırmak mümkündür.

Hastayı yoracak veya ağrılı bir yöntem olmadığı için kolay bir şekilde gerçekleştirilir. Hastanenin yoğunluğuna göre randevu verilerek çekim yapılır. Fakat acil durumlarda veya hastanın beklemek istememesi durumunda genelde işlemin özel hastanede ya da tanı merkezinde gerçekleşmesi gerekiyor. Galenlab laboratuar hizmetlerinin sunmuş olduğu bu güvenli ve etkili yöntemden yardım alınabilir.

Skolyoz Grafisi (Ortoröntgenografi) Nedir?

Skolyoz rahatsızlığı, bel kemiğinde ortaya çıkan eğrilik anlamına gelir. Yani sağlıklı veya normal koşullarda bel kemiğinin düz bir yapıya sahip olması gerekiyor. Eğrilik sorunları genelde bel kemiğinin sağ tarafa veya sol tarafa sapmasından kaynaklıdır.

Bu gibi durumlarla karşı karşıya kalındığında buna skolyoz rahatsızlığı denir. Hastaneye başvurup doktordan yardım alınması üzerine genelde hastaya ortoröntgenogram çekimi yapmasını ister.

Çekim iki farklı şekilde sınıflandırılır. Yapısal olan ve yapısal olmayan skolyoz rahatsızlığına denir. Skolyoz rahatsızlığı genelde kız çocuklarında daha sık görünür hale gelir. Bunun sebebi ise genetik yatkınlığa bağlı olan bir durumdan ibarettir.

Skolyoz teşhisini koyabilmek için uzman hekimden yardım almadan tedavi gerçekleştirilmeden giderilmesi mümkün değildir. Zaman kaybetmeden ve ihmal edilmeden sağlık kuruluşuna başvurarak doktordan yardım alınmalıdır. Galenlab laboratuvar hizmetlerinin sağlamış olduğu bu güvenilir görüntüleme tekniğinden herkes rahatlıkla faydalanabilir.

Ortoröntgenogram Fiyatları 2026

Bir diğer adıyla bilinen skolyoz filminin maliyetli ve yüksek olduğunu söylemek mümkün değildir. Fakat fiyat bilgisi hakkında kesin olarak bilgi elde etmekte mümkün değildir.

Çünkü fiyatlandırma bilgisi her yerde sürekli değişkenliğe sebep olan durumlardan biridir. Yapılacak olan görüntüleme tekniklerinin her sağlık kuruluşunda ve tanı merkezlerinde işlemlerin gerçekleştirilmesi mümkündür.

Fakat acil durumlarda ve zaman kaybı yaşamak istemeyen hastalar için işlemlerin özel hastanede ya da tanı merkezinde gerçekleşmesi önerilir. Galenlab laboratuar hizmetlerinin sağlamış olduğu fırsattan yararlanmak için iletişim bilgilerinden irtibata geçilmesi gerekir.

Bu sayede güncel fiyat bilgisine erişim sağlamak ve ortoröntgenogram hakkında detaylı bilgi almada yardımcı olunur. Ortoröntgenogram fiyatları 2026 hakkında bilgi almak için bizlere hemen ulaşabilirsiniz.